• Measuring heart rate
  • Measuring blood pressure
  • Angiography
  • Echocardiography
  • ECG

Examination of the circulatory system

ECG
Echocardiography
Angiography
Measuring blood pressure
Measuring heart rate

Examination of the circulatory system

There is a wide array of methods to assess the circulatory system. The easiest tests are the measurements of the heart rate and the blood pressure; these can be done easily even at home. One of the most common tests is the electrocardiogram (ECG), which tracks the changes in the electrical activity of the heart. The ultrasound scan of the heart provides a different type of information. The state of the arteries can be determined by angiography.

The electrocardiogram

When doing an electrocardiogram electrodes are placed on the skin at certain points of the body (usually the wrists, ankles and the chest) and the electric impulses moving through the heart during the cardiac cycle gets recorded. These impulses are pictured as waves on a graph  on a monitor or paper.

Electrocardiogram

Ultrasound scan of the heart (echocardiography)

During this test the state of the heart valves and chambers is assessed with ultrasound. The ultrasound waves bounce back from the structures of the heart and this is converted into images and shown on a screen. With this test the abnormalities of the heart valves or chambers can be picked up. Blood clots inside the heart can also be visible; these can cause obstruction elsewhere if they get detached.

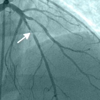
Angiography

During angiography dye is administered through a thin flexible tube (catheter) to the blood vessels that are assessed. With the help of X-ray any occlusions, narrowings or plaques in the arteries can be visualised. Most often the coronary arteries, the aorta and brain arteries are examined with this method. If there is a narrowing or occlusion the vessel can be dilated with various methods, in more severe cases a bypass operation is performed.

Measuring blood pressure

When measuring blood pressure the highest and the lowest pressure in the systemic arterial circulation is determined. The upper value is the pressure measured in the big arteries at the time of the left ventricular contraction. The lower value is the value during the relaxation period between two contractions. The blood pressure of a healthy person is around 16/10 kPa = 120/80 mmHg. High blood pressure (Hypertension) is when the blood pressure is constantly above 140/90 mmHg. Blood pressure in the past was measured with a mercury-filled sphygmomanometer with a manual pump and a stethoscope, these days they are replaced with modern easy-to-use meters. Newer blood pressure monitors consist of a measuring unit with display and an inflatable cuff. The cuff is usually placed on the upper arm in a way that the tube coming from it or the artery sign on it is above the area of the elbow pit. Then nothing else has to be done apart from pressing the „start” button and the meter does the measurement and displays the results. It is important to do the measurement in a rested position without movement because movement can interfere with the results. The blood pressure monitor usually displays the heart rate as well.

Measuring heart rate

When the heart contracts a rhythmic pulsation (pulse wave) travels through the arterial system. This pulse wave can be palpated easily above the larger arteries running close to the skin surface, especially if above a bone. A healthy person’s heart rate is 60-80/minute. Heartbeat of children is slightly higher. The heart rate is most often measured on the inside of the wrist on the side of the thumb; here the wrist artery can be palpated easily. Carotid arteries are also used to measure heart rate. These are located on both sides of the neck beside the larynx.

Measuring heart rate on the carotid arteria

Examination of the circulatory system